央广网合肥1月5日消息(记者王利 通讯员张薇)日前,合肥市的朱女士在备孕检查时,竟发现体内有一根3cm左右的缝衣针。在安医大一附院胃肠外科(腔镜)病区李永翔主任手术团队的努力下,1月4日下午,这根藏在女子腹中30年的针被顺利取出。

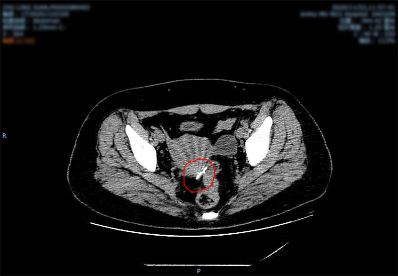
朱女士今年34岁,据她回忆,自己儿时曾经误吞下一根针,一直没有明显不适,但最近备孕做MRI(核磁共振成像)检查时,因体内有金属异物无法继续进行,后改为CT检查,发现针已经戳破直肠,游走到盆腔,如怀孕很可能会引起子宫损伤甚至伤及婴儿,非常危险。

据李永翔介绍,由于针在体内容易游走,定位困难,决定为其采用腔镜手术联合腔镜下超声内镜技术,“治疗”和“观察”同步进行,精准定位,为取针提供保障。经过充分的术前准备,一根长达3.5cm的缝衣针顺利从朱女士的体内取出,针已经出现生锈和腐蚀。整个过程仅30分钟,出血少,创伤小。

李永翔提醒,缝衣针、钉子等类似尖细物品被幼儿误吞的病例较为多见,家长一定要加强看护,谨慎使用、妥善存放这些物品,一旦发生误吞情况必须及时就医,防止异物扎进气管或其他器官,危及生命。
时间:2021年01月05日
来源:http://www.cnr.cn/ah/ygkx/20210105/t20210105_525383804.shtml



